Teeth Grinding Treatment Newport Beach | Bruxism Dentist Orange County

Teeth Grinding &
Bruxism Treatment

Grinding your teeth at night? Clenching during the day? Dr. Vartanian stops the damage and breaks the cycle with targeted TMJ therapy and therapeutic Botox in Newport Beach.

Real Results

The Damage Bruxism Causes —
and How We Restore It

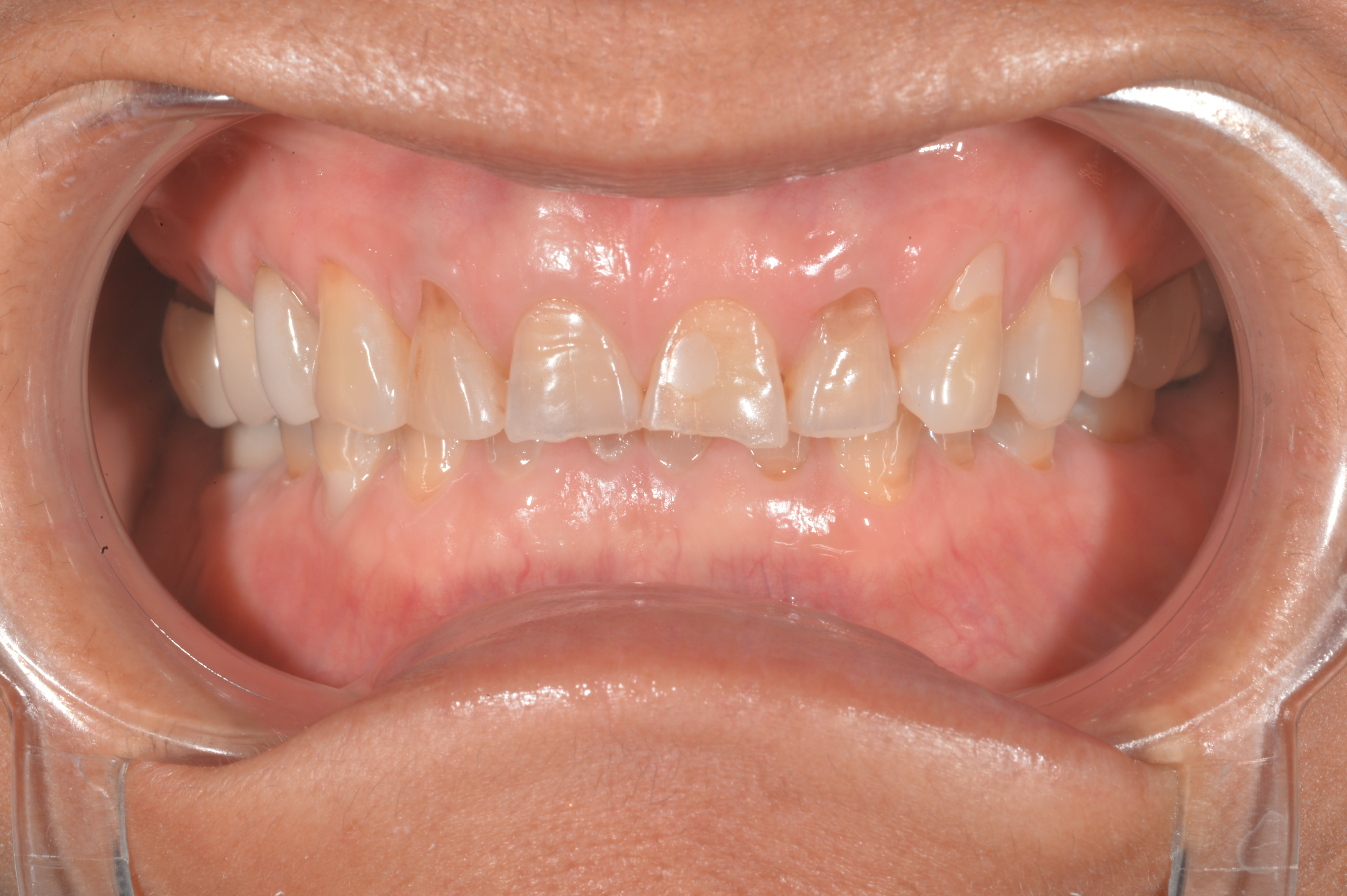
Years of unconscious grinding can devastate your teeth. Here’s what bruxism damage looks like — and what’s possible with the right treatment.

Teeth before bruxism treatment
Before
Severe Grinding Damage
Enamel worn through from years of nighttime clenching — teeth flattened, shortened, and at risk of fracture.
Teeth after bruxism treatment
After
Restored & Protected
Teeth rebuilt to proper form. Botox + splint therapy breaks the grinding cycle and prevents future damage.
Bruxism Specialist

Stop the Grinding.
Protect Your Teeth.

Bruxism — involuntary teeth grinding and clenching — affects millions of people, often without their knowledge. You may grind in your sleep and only discover it through worn teeth, morning headaches, or jaw pain that won’t resolve.

Left untreated, bruxism is destructive. It wears down enamel, cracks teeth, damages existing dental work, and places enormous stress on your TMJ. Over time, the consequences compound: tooth sensitivity, chronic headaches, jaw joint deterioration, and the need for expensive dental restorations.

Dr. Vartanian treats bruxism at its source — not just its symptoms. Custom therapeutic splints redistribute clenching forces and protect your teeth, while Botox for bruxism directly reduces the involuntary muscle contractions driving the grinding. Combined with bite analysis and correction, this comprehensive approach delivers lasting results.

If you suspect you’re grinding — or if your dentist has mentioned worn teeth — schedule a bruxism evaluation before more damage occurs.

Signs You Need Help

  • Worn, flattened, or chipped teeth
  • Tooth sensitivity without dental cause
  • Jaw pain or fatigue upon waking
  • Audible grinding during sleep (partner reports)
  • Chronic morning headaches or migraines
  • Tight, sore jaw muscles
  • Cheek biting or tongue indentations
  • Disrupted sleep for you or your partner
  • Fractured teeth or failing dental work
  • Ear pain or ringing
FAQ

Frequently Asked Questions

Why do I grind my teeth at night?+
Sleep bruxism is most commonly associated with stress, anxiety, sleep disorders, bite misalignment, and certain medications (especially SSRIs). Many patients grind without knowing it — the first sign is often worn teeth or morning jaw pain identified by their dentist.
Can bruxism be cured?+
While the underlying tendency to clench may persist, bruxism can be effectively managed and its damage prevented. Custom splint therapy protects teeth and reduces forces, therapeutic Botox weakens the involuntary clenching reflex, and addressing contributing factors like stress and bite problems provides long-term improvement.
Will a night guard stop me from grinding?+
A properly designed therapeutic splint (not a generic drugstore night guard) significantly reduces grinding forces and protects your teeth. However, a splint alone doesn’t address the muscle tension driving the grinding. Dr. Vartanian often combines splint therapy with Botox for the most complete treatment.
How does Botox stop teeth grinding?+
Botox relaxes the masseter and temporalis muscles responsible for clenching. By reducing their involuntary contraction strength, grinding forces decrease dramatically — typically by 50-70%. This protects teeth, reduces pain, and allows the jaw to heal. Learn more about Botox for bruxism →
Get Started

Ready for Relief?

Schedule your TMJ consultation with Dr. Vartanian and take the first step toward a pain-free life.